드디어 고곡
녹내장 초기증상 10가지정리 본문
녹내장은 시력에 심각한 영향을 미칠 수 있는 질환으로, 조기에 발견하고 치료하는 것이 매우 중요합니다. 초기 증상이 나타나면 적절한 조치를 취하여 시력을 보호하는 데 큰 도움이 됩니다.
이 글에서는 녹내장의 초기 증상 10가지를 자세히 설명하고, 시력을 지키기 위한 방법도 함께 소개하겠습니다.






녹내장이란 무엇인가요?
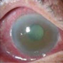
녹내장은 안압이 상승하면서 시신경이 손상되는 질환입니다. 이러한 손상은 결국 시력 상실로 이어질 수 있습니다. 녹내장은 종종 "조용한 도둑"이라고 불리는데, 그 이유는 초기 증상이 거의 없기 때문입니다. 그러므로 정기적인 안과 검진이 매우 중요합니다.
녹내장의 초기 증상
녹내장이 발전하기 전에 주의해야 할 초기 증상이 있습니다. 이 증상들을 잘 알고 있으면, 보다 빠르게 전문가에게 상담을 받을 수 있습니다. 아래에서 녹내장의 초기 증상 10가지를 살펴보겠습니다.
첫 번째 증상은 시야의 잔상이 나타나는 것입니다. 천천히 잘 보이던 물체가 흐려지거나, 뚜렷하지 않은 경향이 커지게 됩니다. 이러한 증상은 일시적일 수도 있지만, 잦은 경우에는 검진을 받아보아야 합니다.
두 번째로는 주변 시야의 감소가 포함됩니다. 평소보다 주변이 흐릿하게 보이거나, 늘 주위를 살피게 됩니다. 특히 운전할 때 이러한 증상이 두드러지게 나타날 수 있습니다.
세 번째 증상은 빛에 대한 민감성입니다. 갑작스러운 조명 변화에 적응하기 어렵고, 빛이 너무 강하게 느껴질 수 있습니다. 이로 인하여 외부 환경에서 불편함을 느끼기 쉬워집니다.
네 번째로는 색감의 변화가 있습니다. 물체의 색상이 흐리게 보이거나 시간이 지나면서 색의 구별이 어려워지는 경우가 발생할 수 있습니다. 이런 변화가 느껴질 경우 즉시 전문가의 상담이 필요합니다.






다섯 번째는 두통입니다. 특히 시력과 관련된 두통이 잦다면, 녹내장을 의심할 수 있습니다. 이런 경우에는 병원에서 정확한 진단을 받는 것이 중요합니다.
여섯 번째 증상은 눈의 피로감입니다. 평소에 비해 눈이 쉽게 피로해지거나, 불편함을 느끼는 경우가 많습니다. 특히 컴퓨터 작업이나 독서 후 이러한 증상이 더욱 심해질 수 있습니다.
일곱 번째로는 눈의 압박감이 있습니다. 눈 주변에서 압박감이나 뻐근함을 느끼는 경우가 많습니다. 이러한 느낌이 지속된다면 반드시 전문가와 상담해야 합니다.
여덟 번째는 중간 거리에서의 시야가 명확하지 않은 현상입니다. 가까운 거리나 먼 거리에서는 괜찮지만, 중간 거리에서의 시야가 불명확해질 수 있습니다. 이런 변화는 더욱 주의 깊게 살펴보셔야 합니다.
아홉 번째 증상은 눈의 번짐입니다. 특히 날씨가 안 좋거나 조명이 불분명할 때 눈이 뿌옇게 보이는 경우가 많습니다. 이러한 증상이 자주 나타난다면, 녹내장 가능성을 고려해야 합니다.
마지막으로는 갑작스러운 시력 변화입니다. 특히 한쪽 눈의 시력이 급격히 떨어지면, 즉시 응급 치료를 받아야 합니다. 이는 꼭 알아두셔야 할 중요한 증상입니다.






시력을 지키기 위한 방법
녹내장을 예방하고 시력을 보호하기 위해서는 몇 가지 방법이 있습니다. 이 방법들을 통해 건강한 눈을 유지할 수 있습니다.
먼저, 정기적인 안과 검진이 필요합니다. 나이가 들거나, 가족력이 있는 경우에는 더욱 자주 검진을 받는 것이 좋습니다. 조기 발견이 가장 중요하니, 주기적인 검진은 필수적입니다.
또한, 건강한 식습관을 유지하는 것이 중요합니다. 신선한 과일과 채소, 특히 녹색 채소를 섭취하는 것이 좋습니다. 이러한 음식들은 눈 건강에 긍정적인 영향을 미칠 수 있습니다.
운동도 중요합니다. 규칙적인 신체 활동은 전반적인 건강을 증진시키고, 안압을 낮추는 데 도움을 줄 수 있습니다. 가벼운 유산소 운동이나 스트레칭을 일상에 포함시키는 것이 좋습니다.
스트레스 관리도 잊지 말아야 합니다. 스트레스는 여러 가지 건강 문제를 유발할 수 있으며, 눈에도 부정적인 영향을 미칠 수 있습니다. 명상이나 요가와 같은 이완 기법을 활용해 보세요.






눈을 보호하기 위해서는 갈등의 해소도 중요합니다. 자주 눈을 깜박이거나 눈을 쉬게 해 주는 것도 눈 건강에 도움이 됩니다. 특히, 컴퓨터 작업을 할 때는 20-20-20 규칙을 지키는 것이 좋습니다.
이외에도 알콜 소비를 줄이고, 흡연을 피하는 것이 중요합니다. 이러한 습관들은 전체적인 건강뿐만 아니라 눈 건강에도 영향을 미치는 요소입니다.
마지막으로, 충분한 수면을 취하는 것도 중요합니다. 수면 부족은 눈의 피로를 가중시키고, 건강에 안 좋은 영향을 미칠 수 있습니다. 적절한 수면을 통해 눈의 회복 시간을 가져야 합니다.
이상으로, 녹내장의 초기 증상과 시력을 지키기 위한 방법에 대해 알아보았습니다. 눈 건강은 우리의 삶의 질을 좌우하는 중요한 요소입니다. 지속적인 관심과 관리가 필요합니다.